

Hola, soy el Dr. William Herrera
Especialista en Prótesis Bucal e Implantes Dentales

Acerca de nuestra trayectoria.
"¡ Soy un profesional con más de 15 años de experiencia en colocación de Carillas dentales, transformando sonrisas, y cambiando vidas. Con mi dedicación y práctica, puedo analizar y ofrecer soluciones personalizadas a las necesidades de los pacientes. ¡Contáctame hoy mismo y trabajemos juntos en la sonrisa que siempre has deseado!"


Contamos con tecnología de punta
Radiografía Digital

Scanner Dental

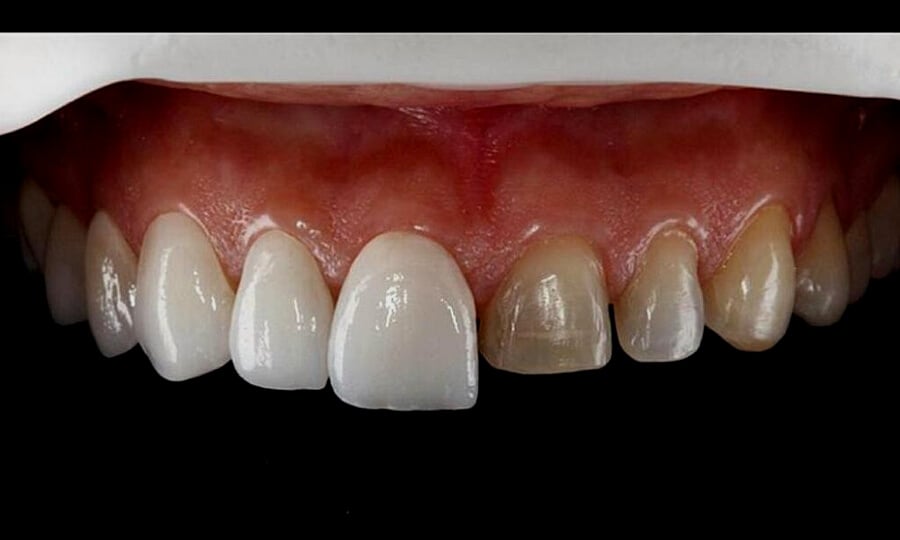
Existen 3 tipos de carillas dentales.

Carillas de Zirconia

Carillas de Resina Directa

Carillas de Porcelana

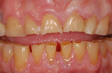
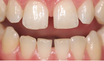
CON LAS CARILLAS PODEMOS SOLUCIONAR:
Dientes fracturados

Dientes Separados

Dientes mal formados

Dientes con otro color


QUE ESPERAR EN LA CONSULTA DE VALORACIÓN GRATIS

Valoraremos tu caso minuciosamente.

Mostraremos los diferentes tratamientos posibles.

Platicaremos sobre tus expectativas.

Prepararemos un presupuesto por escrito.

Saldrás con todas tus dudas dentales resueltas.